Login Register
Gallery Bronchiectasis Bronchiectasis Case 14

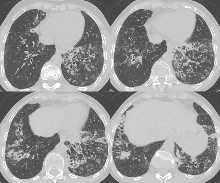
Bronchiectasis Case 14

Date: 03/11/2006
Size:
Full size: 864x720
nextlast
first previous
Bronchiectasis Case 14
nextlast
first previous
Powered by Gallery v2.3