Login
Register
Gallery
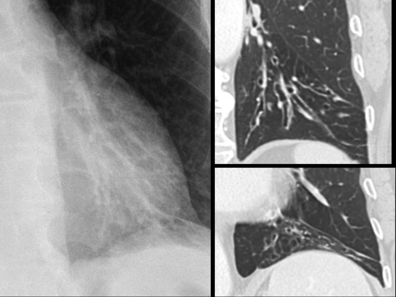
Bronchiectasis
Chronic airway disease
Chronic airway disease
Date: 03/02/2014
Size:
800x599
1165x873
Full size:
1165x873
first
previous
first
previous