Login Register
Gallery Bronchiectasis Bronchiectasis Case 13 CT

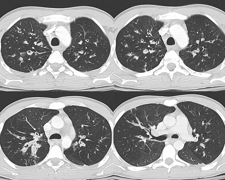
Bronchiectasis
Case 13 CT

Date: 06/06/2004
Full size: 720x576
nextlast
first previous
Bronchiectasis
Case 13 CT
nextlast
first previous
Powered by Gallery v2.3