Login
Register
Gallery
Pneumonia
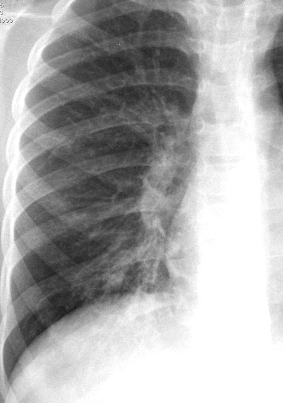
Bronchopneumonia
Bronchopneumonia
Date: 03/27/2009
Size:
563x800
927x1317
Full size:
927x1317
next
last
first
previous
next
last
first
previous