Login Register
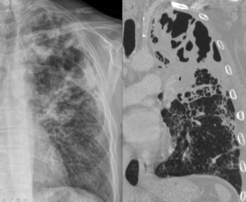
Gallery Pneumonia necrotizing pneumonia

necrotizing pneumonia

Date: 02/02/2011
Size:
Full size: 1150x946
nextlast
first previous
necrotizing pneumonia
nextlast
first previous
Powered by Gallery v2.3