Login
Register
Gallery
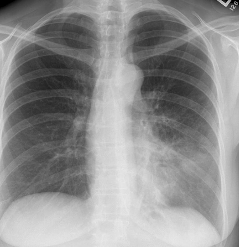
Pneumonia
Lingular pneumonia PA
Lingular pneumonia PA
Date: 10/15/2006
Size:
773x800
1120x1159
Full size:
1120x1159
next
last
first
previous
next
last
first
previous