Login
Register
Gallery
Lobar Collapse
LLL Collapse
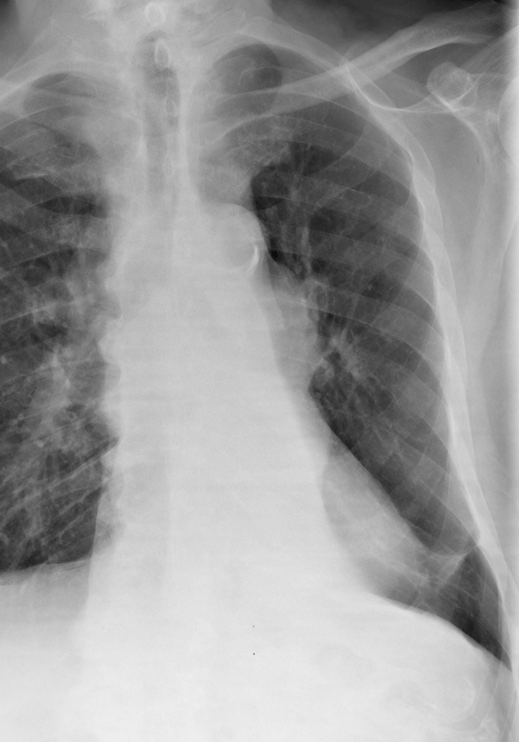
LLL collapse Hilar mass Case 10
LLL collapse
Hilar mass Case 10
Date: 03/14/2009
Size:
559x800
737x1054
Full size:
737x1054
next
last
first
previous
next
last
first
previous