Login Register
Gallery Lobar Collapse LLL Collapse LLL collapse Hilar mass Case 10

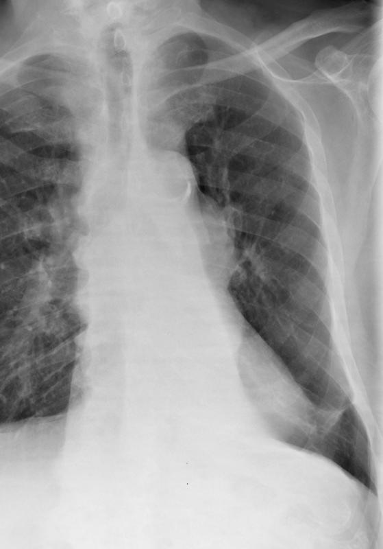
LLL collapse
Hilar mass Case 10

Date: 03/14/2009
Size:
Full size: 737x1054
nextlast
first previous
LLL collapse
Hilar mass  Case 10
nextlast
first previous
Powered by Gallery v2.3