Login Register
Gallery Cardiac Pericardium Case 3 Lat only Peric calcification

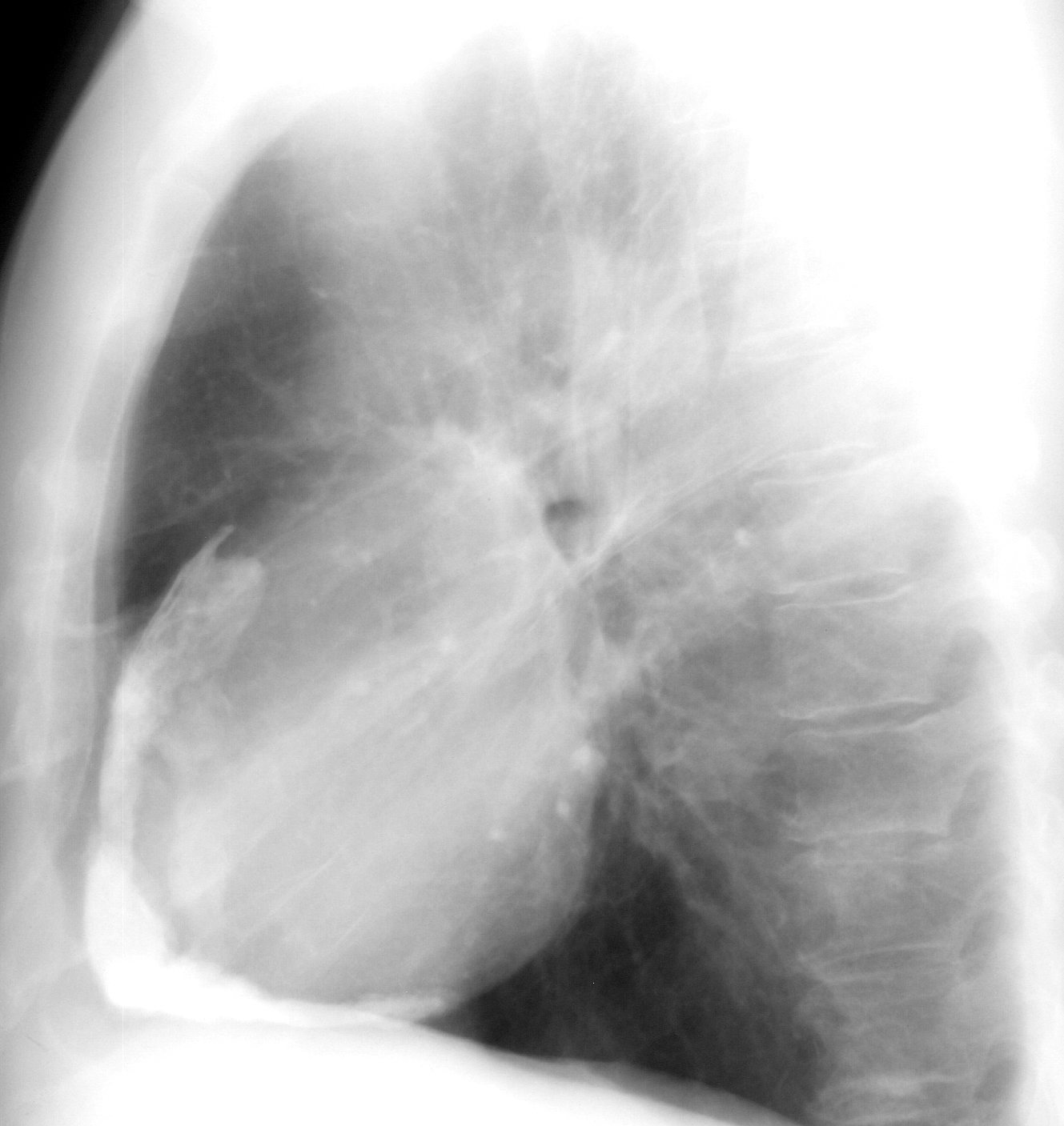
Case 3 Lat only
Peric calcification

Date: 03/17/2004
Size:
Full size: 1329x1407
nextlast
first previous
Case 3 Lat only
Peric calcification
nextlast
first previous
Powered by Gallery v2.3