Login Register
Gallery Cardiac Pericardium Case 2 Peric calcification

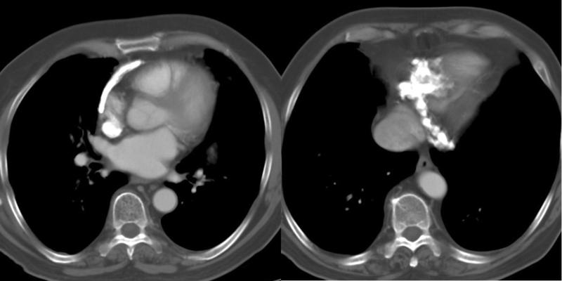
Case 2
Peric calcification

Date: 03/17/2004
Size:
Full size: 1244x622
nextlast
first previous
Case 2
Peric calcification
nextlast
first previous
Powered by Gallery v2.3