Login Register
Gallery Bronchiectasis Bronchiectasis Case 7b PA

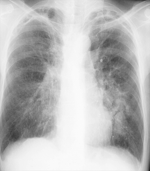
Bronchiectasis
Case 7b PA

Date: 06/06/2004
Full size: 504x576
nextlast
first previous
Bronchiectasis
Case 7b PA
nextlast
first previous
Powered by Gallery v2.3