Login Register
Gallery Bronchiectasis Bronchiectasis Case 6 CT

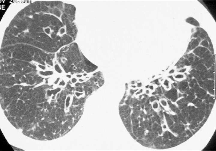
Bronchiectasis
Case 6 CT

Date: 06/06/2004
Full size: 720x504
nextlast
first previous
Bronchiectasis
Case 6 CT
nextlast
first previous
Powered by Gallery v2.3