Login Register
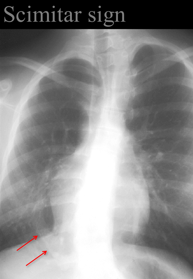
Gallery Signs Scimitar sign Anomalous venus return below the diaphragm (hypoplastic Rt lung/venolobar syndrome)

Scimitar sign
Anomalous venus return below the diaphragm
(hypoplastic Rt lung/venolobar syndrome)

Date: 04/28/2014
Size:
Full size: 650x941
nextlast
first previous
Scimitar sign
Anomalous venus return below the diaphragm
(hypoplastic Rt lung/venolobar syndrome)
nextlast
first previous
Powered by Gallery v2.3