Login Register
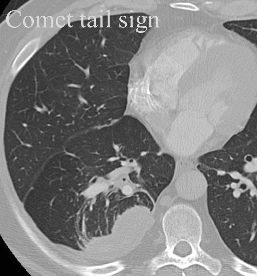
Gallery Signs Comet tail sign Rounded atelectasis (Initially coined for tomography)

Comet tail sign
Rounded atelectasis
(Initially coined for tomography)

Date: 04/28/2014
Size:
Full size: 862x925
nextlast
first previous
Comet tail sign
Rounded atelectasis
(Initially coined for tomography)
nextlast
first previous
Powered by Gallery v2.3