Login Register
Gallery Sarcoid Sarcoid Case 6 '60 & '65

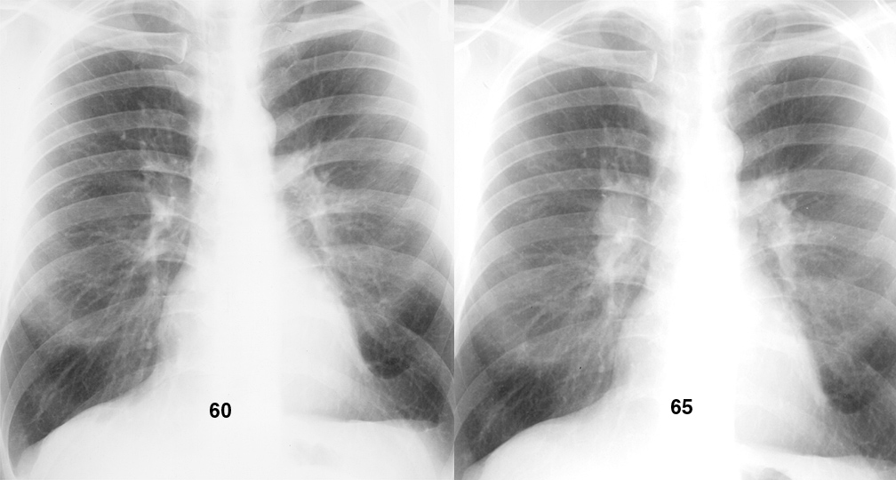
Sarcoid
Case 6 '60 & '65

Date: 04/19/2004
Size:
Full size: 1008x540
nextlast
first previous
Sarcoid
Case 6 '60 & '65
nextlast
first previous
Powered by Gallery v2.3