Login
Register
Gallery
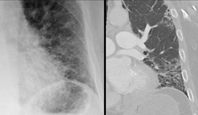
Pulmonary Fibrosis
IPF
IPF
IPF
Date: 11/06/2013
Size:
800x468
1279x749
Full size:
1279x749
next
last
first
previous
next
last
first
previous