Login Register
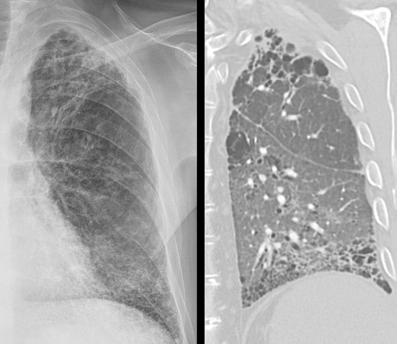
Gallery Pulmonary Fibrosis IPF IPF

IPF

Date: 11/06/2013
Size:
Full size: 1065x921
nextlast
first previous
IPF
nextlast
first previous
Powered by Gallery v2.3