Login Register
Gallery Pulmonary Fibrosis IPF IPF

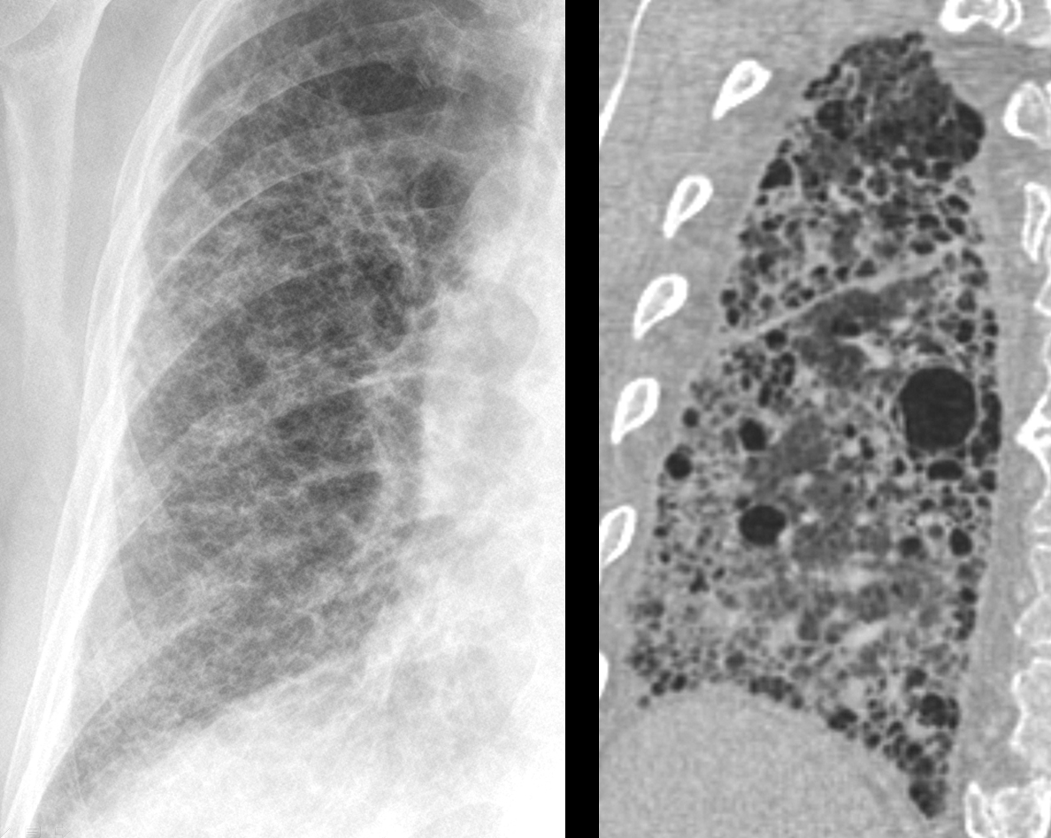
IPF

Date: 04/02/2014
Size:
Full size: 1188x947
nextlast
first previous
IPF
nextlast
first previous
Powered by Gallery v2.3