Login Register
Gallery Pneumonia Aspergilloma

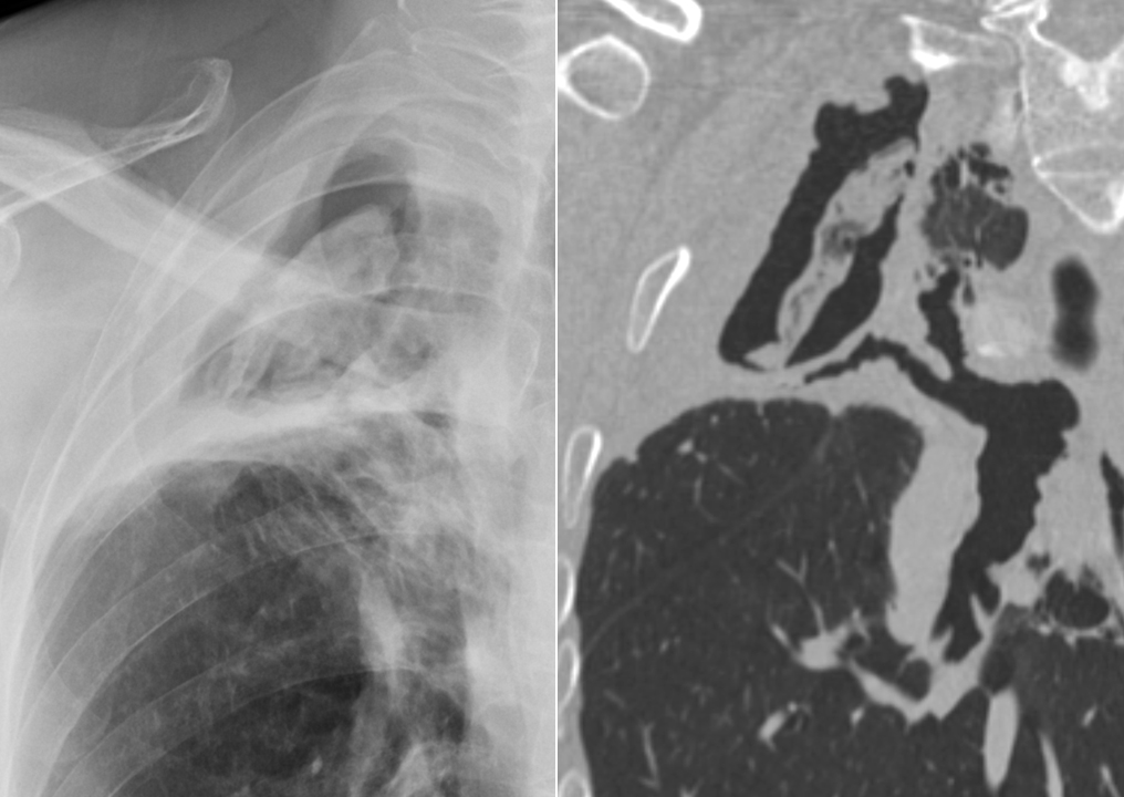
Aspergilloma

Date: 10/23/2010
Size:
Full size: 1016x720
nextlast
first previous
Aspergilloma
nextlast
first previous
Powered by Gallery v2.3