Login Register
Gallery Pneumonia Case 9 RLL brpneum PA

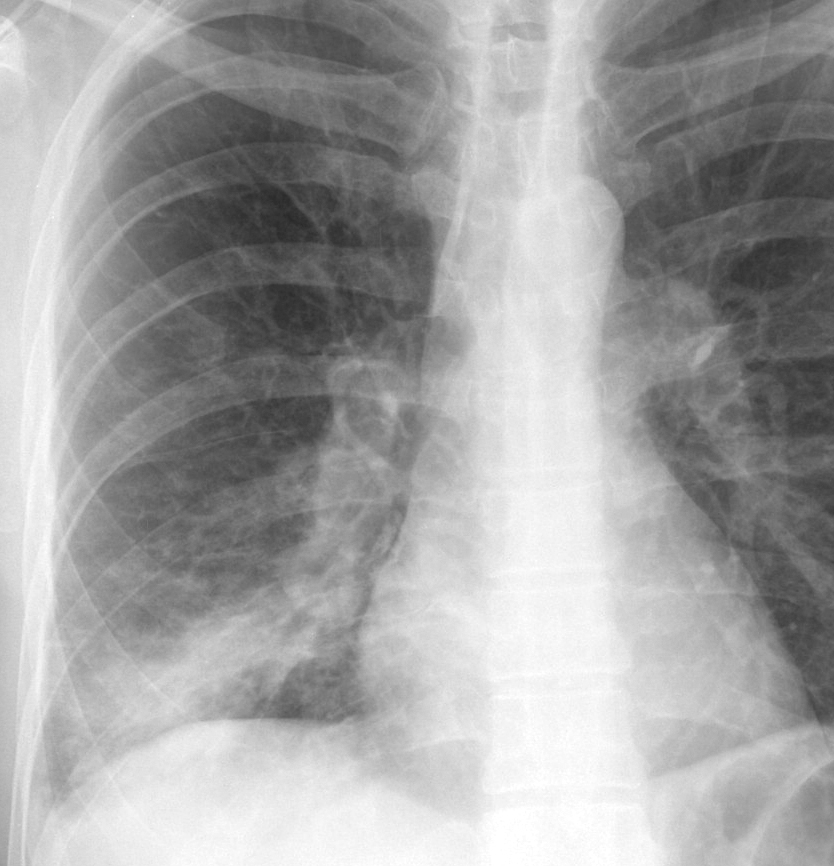
Case 9 RLL brpneum PA

Date: 11/02/2004
Size:
Full size: 834x866
nextlast
first previous
Case 9 RLL brpneum PA
nextlast
first previous
Powered by Gallery v2.3