Login Register
Gallery Pleural subpleural fat

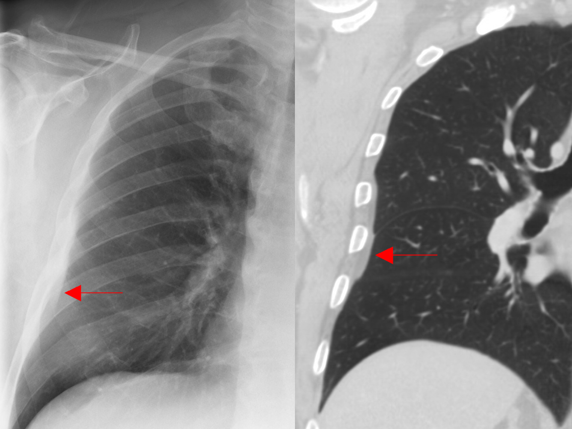
subpleural fat

Date: 01/13/2008
Size:
Full size: 1152x864
nextlast
first previous
subpleural fat
nextlast
first previous
Powered by Gallery v2.3