Login Register
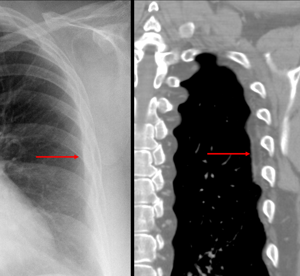
Gallery Pleural subpleural fat

subpleural fat

Date: 01/12/2015
Size:
Full size: 1044x959
nextlast
first previous
subpleural fat
nextlast
first previous
Powered by Gallery v2.3