Login Register
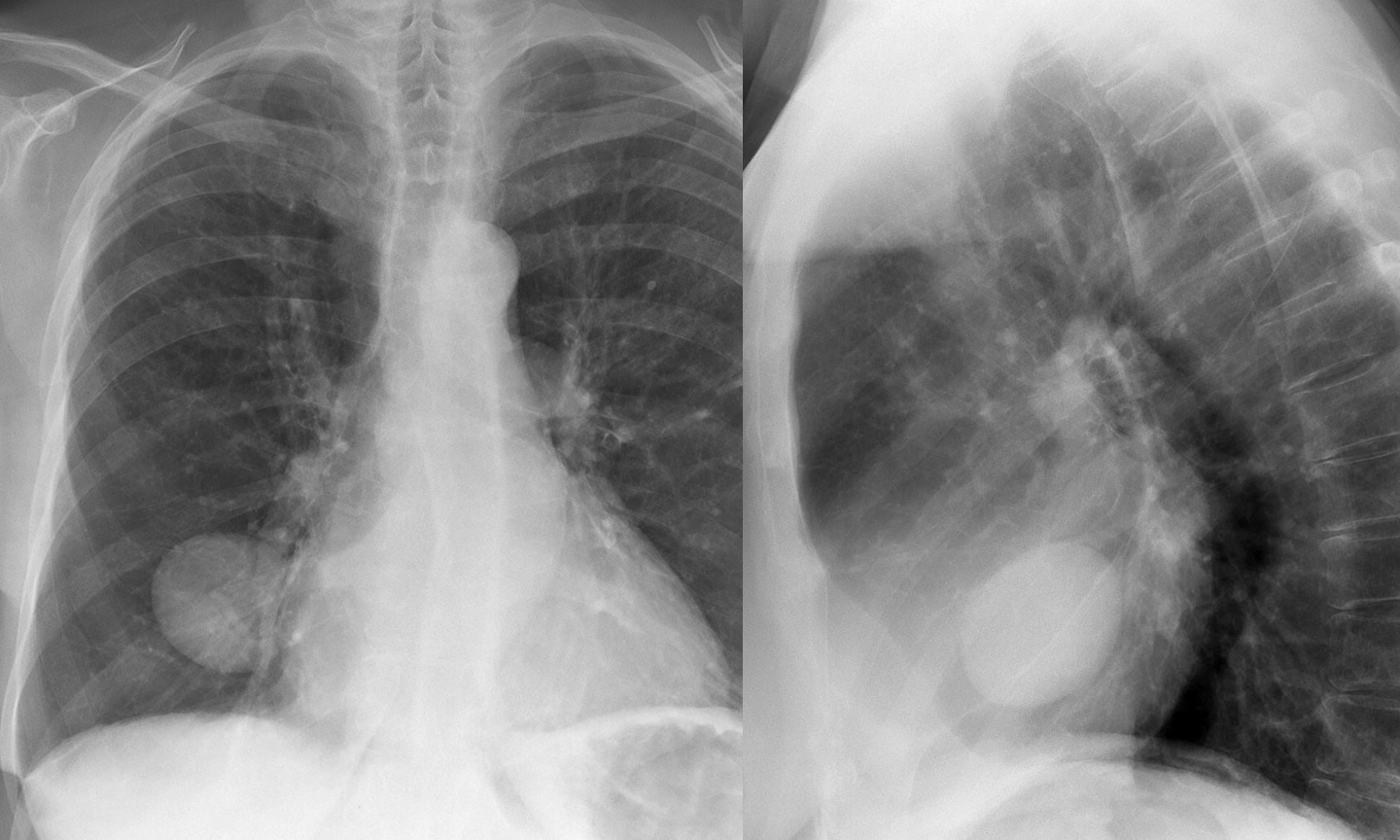
Gallery Pleural fluid in major fissure (pseudotumour)

fluid in major fissure (pseudotumour)

Date: 01/12/2009
Size:
Full size: 1440x864
nextlast
first previous
fluid in major fissure (pseudotumour)
nextlast
first previous
Powered by Gallery v2.3