Login Register
Gallery Pleural Empyema CT

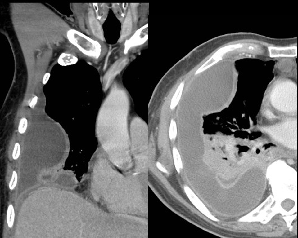
Empyema CT

Date: 04/04/2010
Size:
Full size: 960x768
nextlast
first previous
Empyema CT
nextlast
first previous
Powered by Gallery v2.3