Login Register
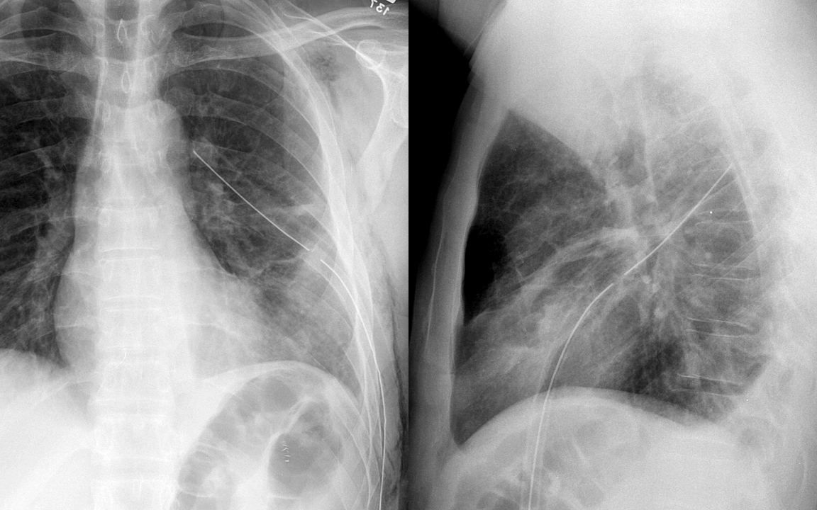
Gallery Pleural chest tube in fissure

chest tube in fissure

Date: 03/27/2009
Size:
Full size: 1152x720
nextlast
first previous
chest tube in fissure
nextlast
first previous
Powered by Gallery v2.3