Login Register
Gallery Mediastinum Miscellaneous Pneumomediastinum 3

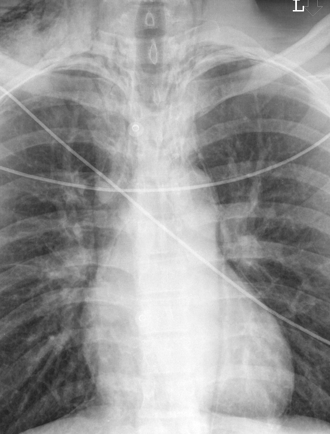
Pneumomediastinum 3

Date: 01/06/2012
Size:
Full size: 1060x1394
nextlast
first previous
Pneumomediastinum 3
nextlast
first previous
Powered by Gallery v2.3