Login
Register
Gallery
Lung Cancer
Miscell
CT guidsed biopsy
CT guidsed biopsy
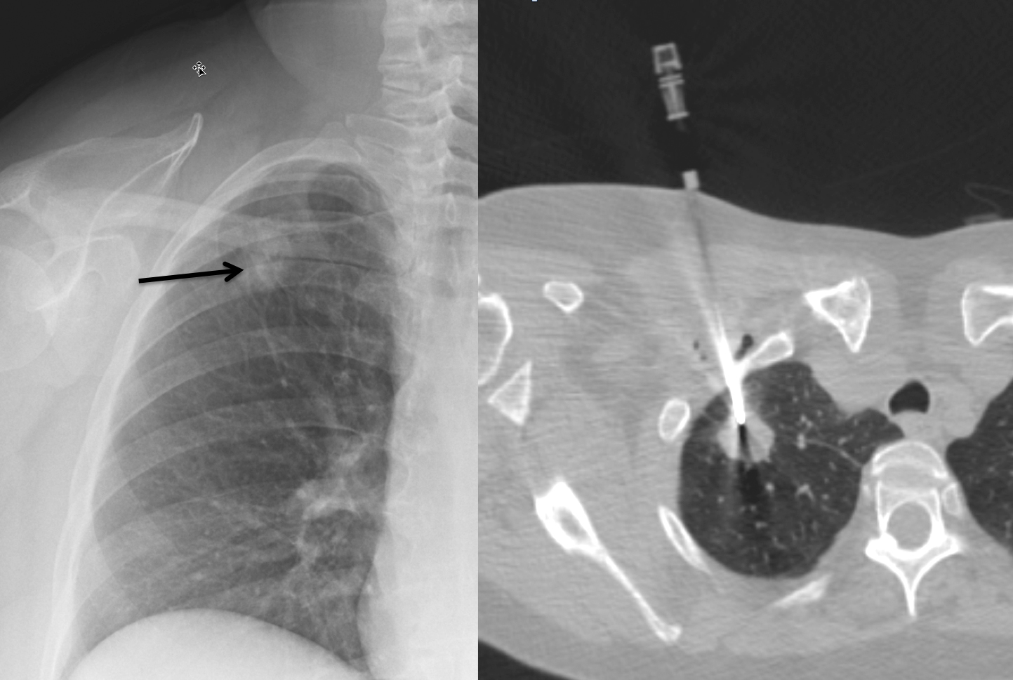
CT guided biopsy
Date: 04/23/2016
Size:
800x537
1443x969
Full size:
1443x969
first
previous
first
previous