Login
Register
Gallery
Lung Cancer
Mets
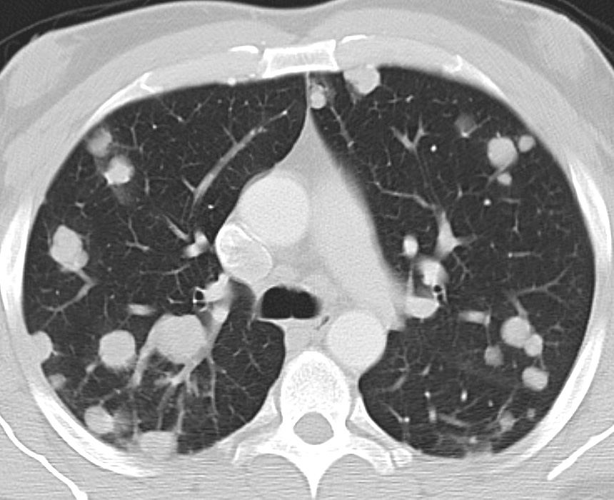
Testicular mets CT
Testicular mets CT
Date: 01/26/2009
Size:
800x652
860x701
Full size:
860x701
next
last
first
previous
next
last
first
previous