Login Register
Gallery Lung Cancer Mets Mets and malignant ffusion

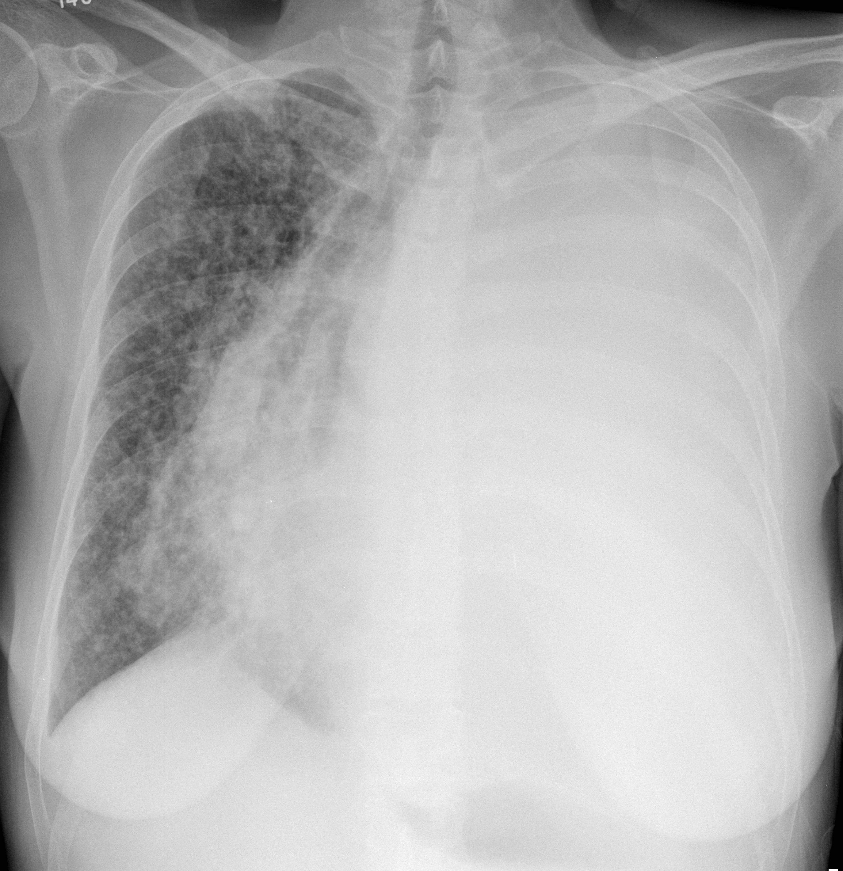
Mets and malignant ffusion

Date: 04/04/2010
Size:
Full size: 2750x2842
nextlast
first previous
Mets and malignant ffusion
nextlast
first previous
Powered by Gallery v2.3