Login Register
Gallery Lung Cancer BAC BAC Case 1 CT

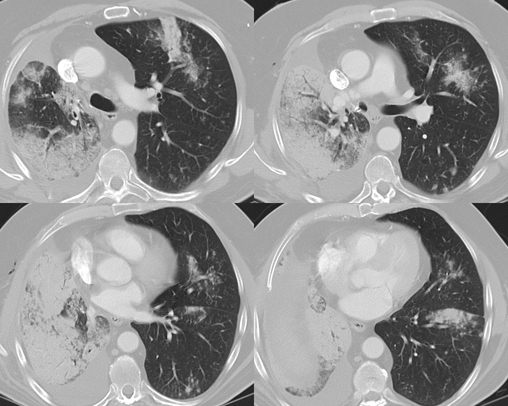
BAC Case 1 CT

Date: 09/06/2006
Size:
Full size: 1000x800
nextlast
first previous
BAC Case 1 CT
nextlast
first previous
Powered by Gallery v2.3