Login Register
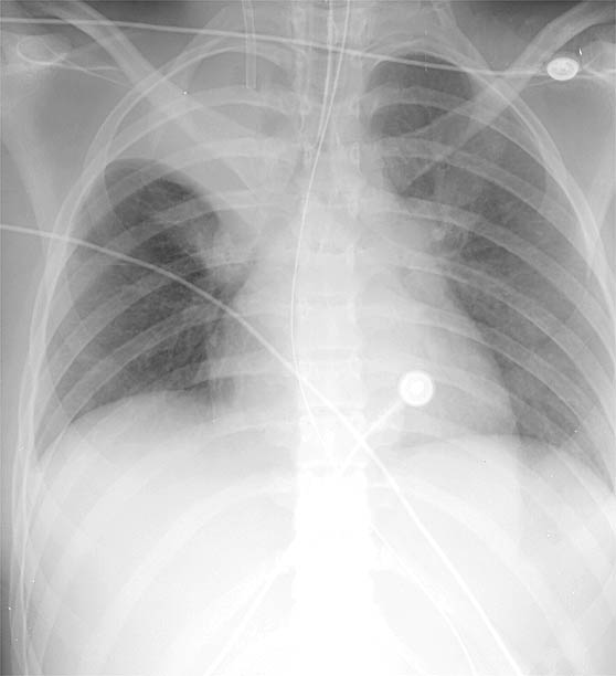
Gallery Lobar Collapse RUL Collapse RUL Collapse Case 5 PA only

RUL Collapse Case 5 PA only

Date: 02/28/2004
Full size: 558x612
nextlast
first previous
RUL Collapse Case 5 PA only
nextlast
first previous
Powered by Gallery v2.3