Login Register
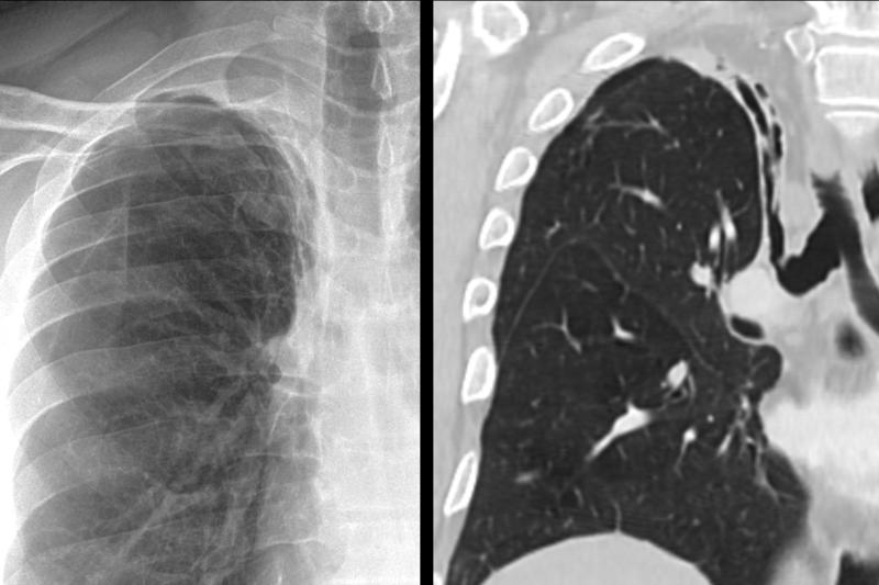
Gallery Lobar Collapse RUL Collapse RUL collapse Case 11

RUL collapse Case 11

Date: 04/07/2014
Size:
Full size: 1272x848
first previous
RUL collapse Case 11
first previous
Powered by Gallery v2.3