Login Register
Gallery Lobar Collapse RUL Collapse RUL Collapse Case 3 Lateral

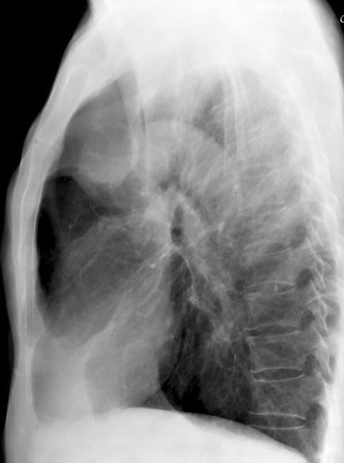
RUL Collapse Case 3 Lateral

Date: 02/28/2004
Full size: 497x668
nextlast
first previous
RUL Collapse Case 3 Lateral
nextlast
first previous
Powered by Gallery v2.3