Login
Register
Gallery
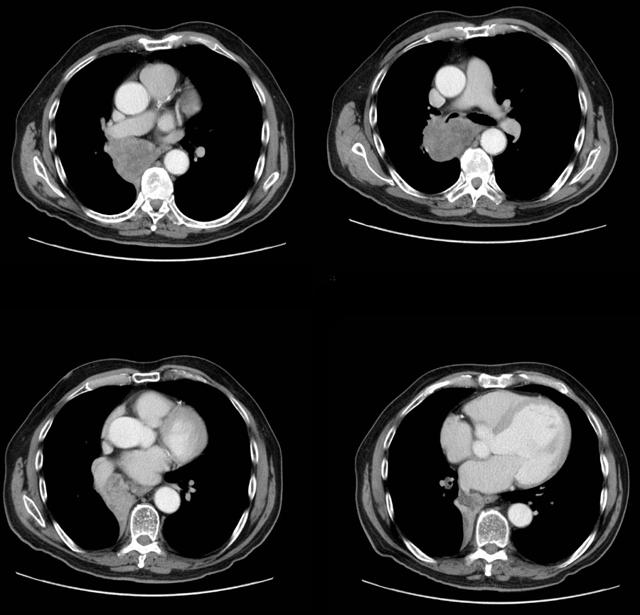
Lobar Collapse
RLL Collapse
Mass RLL collapse 5 CT
Mass RLL collapse 5 CT
Date: 03/02/2006
Size:
800x768
900x864
Full size:
900x864
first
previous
first
previous