Login Register
Gallery Lobar Collapse LLL Collapse LLL Collapse Case 3b PA

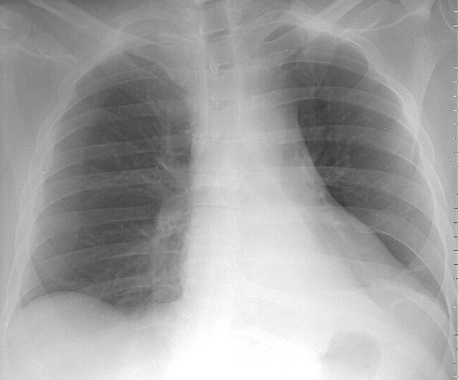
LLL Collapse Case 3b PA

Date: 02/28/2004
Full size: 644x535
nextlast
first previous
LLL Collapse Case 3b PA
nextlast
first previous
Powered by Gallery v2.3