Login Register
Gallery Lobar Collapse LLL Collapse LLL Collapse Case 3a PA

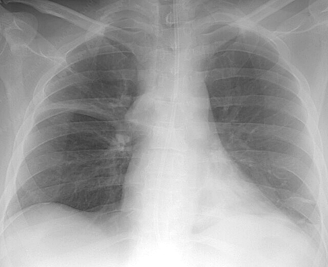
LLL Collapse Case 3a PA

Date: 02/28/2004
Full size: 639x519
nextlast
first previous
LLL Collapse Case 3a PA
nextlast
first previous
Powered by Gallery v2.3