Login Register
Gallery Congenital Br Cyst CT

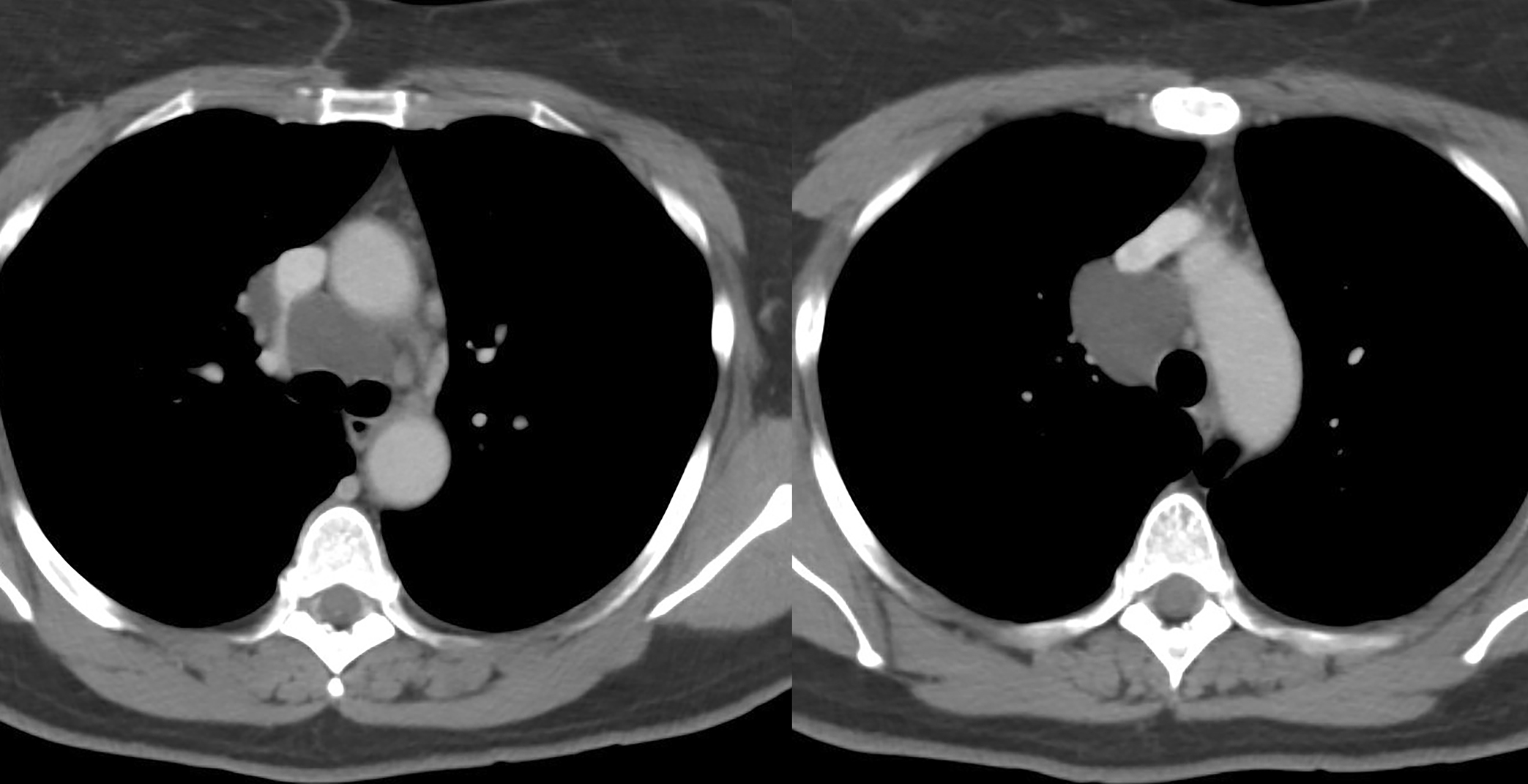
Br Cyst CT

Bronchogenic cyst CT

Date: 01/06/2018
Size:
Full size: 2087x1071
first previous
Br Cyst CT
first previous
Powered by Gallery v2.3