Login Register
Gallery Congenital Azygous continuation

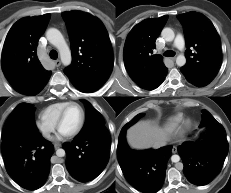
Azygous continuation

Date: 03/11/2006
Size:
Full size: 864x720
nextlast
first previous
Azygous continuation
nextlast
first previous
Powered by Gallery v2.3