Login Register
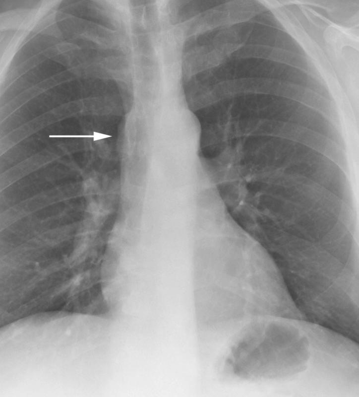
Gallery Congenital Azygous continuation

Azygous continuation

Date: 03/11/2006
Size:
Full size: 776x858
nextlast
first previous
Azygous continuation
nextlast
first previous
Powered by Gallery v2.3