Login Register
Gallery Cardiac Pericardium Peric cyst Case 4

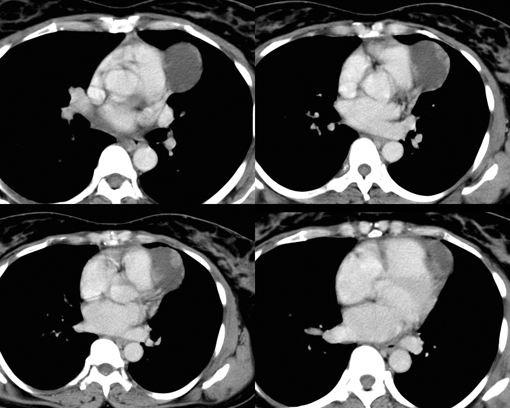
Peric cyst Case 4

Date: 07/23/2006
Size:
Full size: 1000x800
nextlast
first previous
Peric cyst Case 4
nextlast
first previous
Powered by Gallery v2.3