Login Register
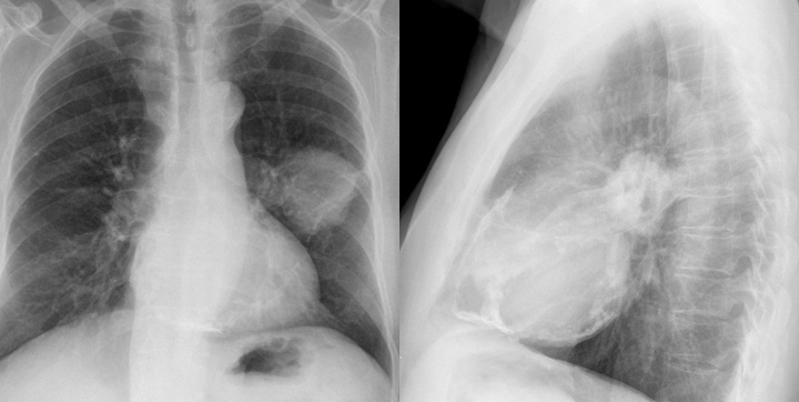
Gallery Cardiac Pericardium Case 2 Lung cancer and Peric calcification

Case 2 Lung cancer and
Peric calcification

Date: 03/17/2004
Full size: 720x362
nextlast
first previous
Case 2  Lung cancer and
Peric calcification
nextlast
first previous
Powered by Gallery v2.3