Login Register
Gallery Bronchiectasis Bronchiectasis Case 2 PA c/u

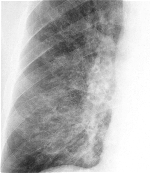
Bronchiectasis
Case 2 PA c/u

Date: 06/06/2004
Full size: 504x576
nextlast
first previous
Bronchiectasis
Case 2 PA c/u
nextlast
first previous
Powered by Gallery v2.3