Login Register
Gallery Bronchiectasis Bronchiectasis Case 1 PA c/u

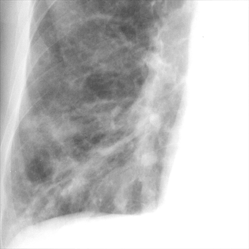
Bronchiectasis
Case 1 PA c/u

Date: 06/06/2004
Full size: 504x504
nextlast
first previous
Bronchiectasis
Case 1 PA c/u
nextlast
first previous
Powered by Gallery v2.3