Login Register
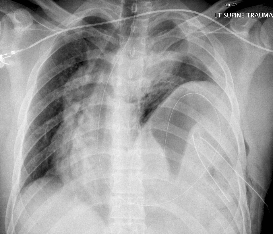
Gallery Blunt Chest Trauma Rupt HD Case 5b

Case 5b

Date: 02/15/2006
Size:
Full size: 951x817
nextlast
first previous
Case 5b
nextlast
first previous
Powered by Gallery v2.3