Login Register
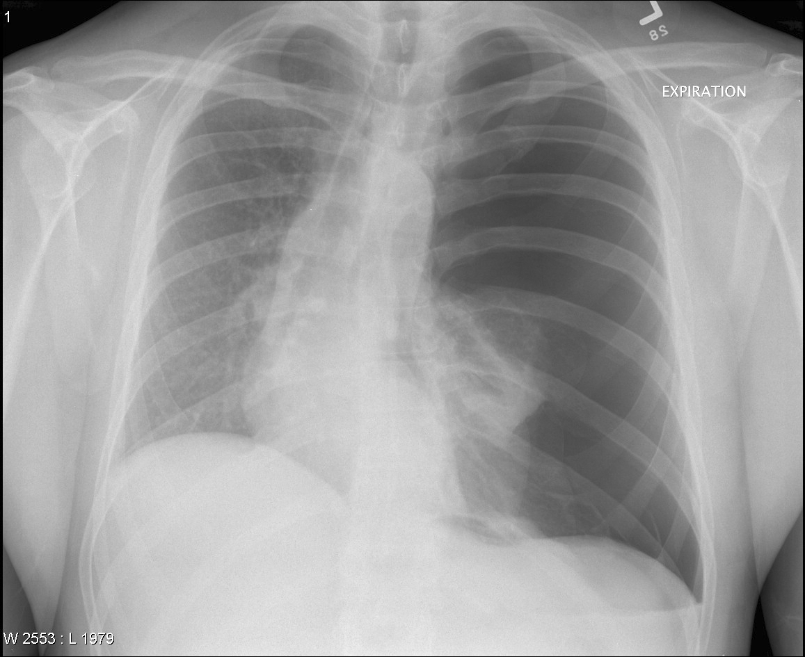
Gallery Blunt Chest Trauma Pneumothorax 7 tension

7 tension

Date: 12/18/2005
Size:
Full size: 1157x945
nextlast
first previous
7 tension
nextlast
first previous
Powered by Gallery v2.3