Login Register
Gallery Anatomy Images paraspinal lines

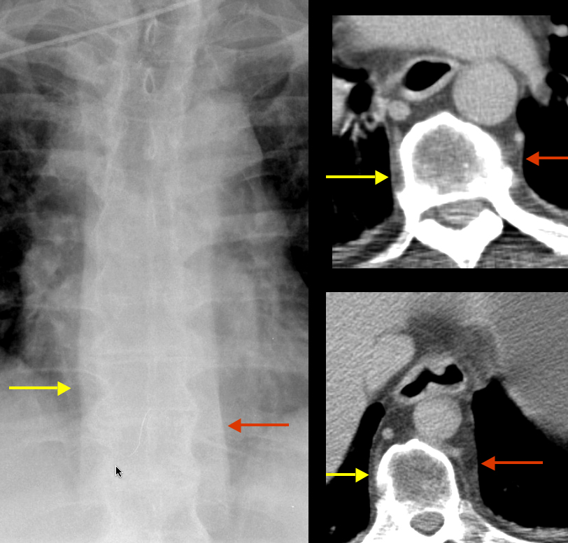
paraspinal lines

Date: 10/23/2010
Size:
Full size: 812x777
nextlast
first previous
paraspinal lines
nextlast
first previous
Powered by Gallery v2.3