Login Register
Gallery Anatomy Images Pul vein lateral Not usually this well defined...needs to be perfectly horizontal

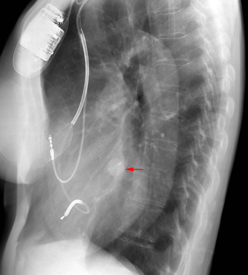
Pul vein lateral
Not usually this well defined...needs to be perfectly horizontal

Date: 01/08/2012
Size:
Full size: 848x940
nextlast
first previous
Pul vein lateral
Not usually this well defined...needs to be perfectly horizontal
nextlast
first previous
Powered by Gallery v2.3