Login Register
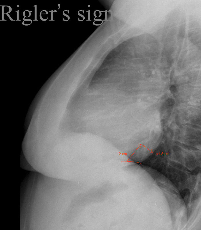
Gallery Signs Rigler's sign to assess LV size

Rigler's sign
to assess LV size

Date: 04/28/2014
Size:
Full size: 748x857
nextlast
first previous
Rigler's sign
to assess LV size
nextlast
first previous
Powered by Gallery v2.3