Login Register
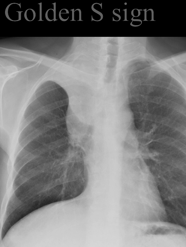
Gallery Signs Golden S sign RUL collapse and central mass

Golden S sign
RUL collapse and central mass

Date: 04/28/2014
Full size: 591x785
nextlast
first previous
Golden S sign
RUL collapse and central mass
nextlast
first previous
Powered by Gallery v2.3