Login Register
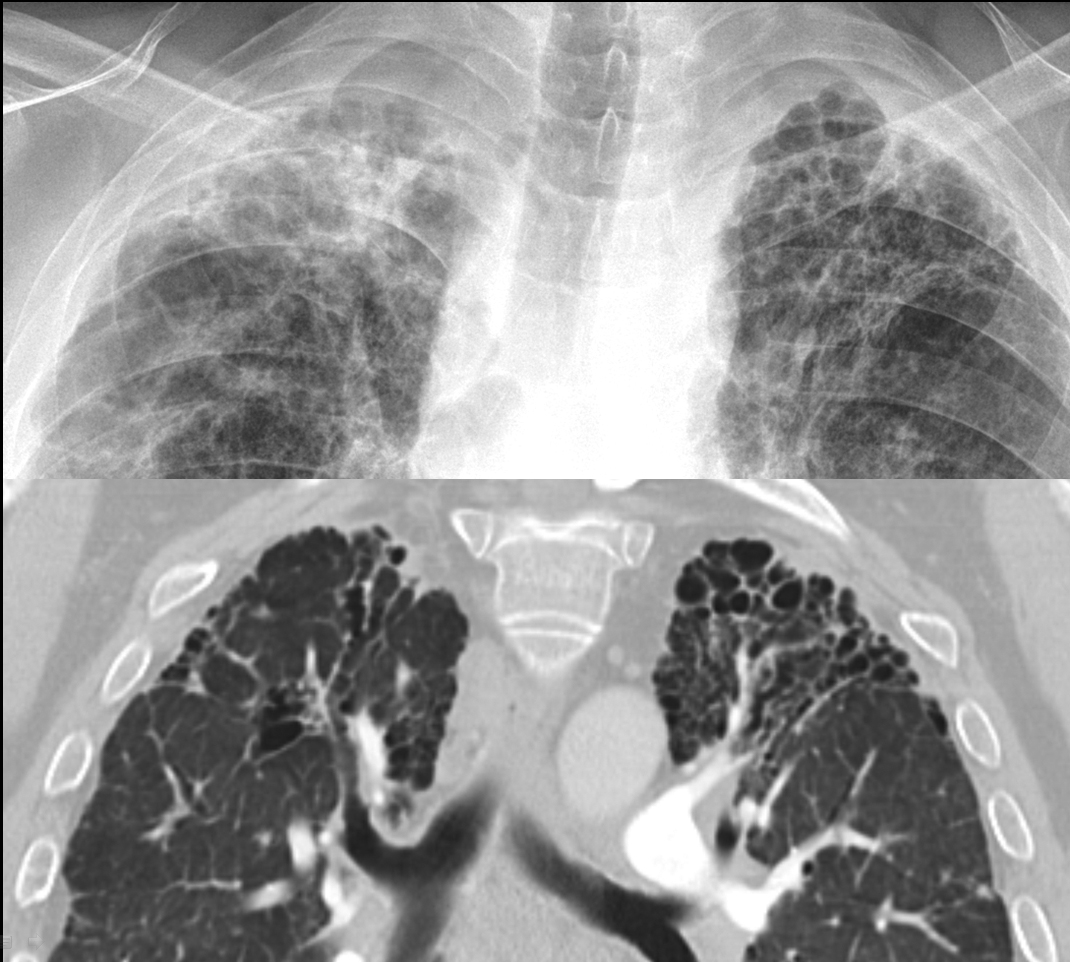
Gallery Pulmonary Fibrosis IPF fibrosis - traction bronch

fibrosis - traction bronch

Date: 03/02/2014
Size:
Full size: 1070x962
nextlast
first previous
fibrosis - traction bronch
nextlast
first previous
Powered by Gallery v2.3